牛皮癣如何进行判断呢?如今大家一定都听说过牛皮癣这种顽固的皮肤病吧,这种病发病率极高,而且很难能够彻底根除,患者们因为牛皮癣这种病,生活中受到了很大的影响。那么牛皮癣如何进行判断呢?下面就让我们来一起看看吧。

牛皮癣症状是什么,这是很多的牛皮癣患者都很关心的问题,专家指出,由于牛皮癣是一种常见的影响美观的皮肤病,很多人对此都敬而远之,下面专家就牛皮癣早期症状是什么这个问题给大家一起探讨一下,希望大家对此都有所了解,早发现,早治疗才是关键。
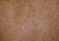
牛皮癣其特征是在红斑上反复出现多层银白色干燥鳞屑。长春博润银屑病医学研究所的医生指出牛皮癣不仅对身体造成伤害,更因为银白色的鳞屑对患者的外形造成影响,从而使患者内心受到创伤。牛皮癣的早期症状主要表现为针头或绿豆大小红色点疹,逐渐扩大,有的点疹互相隔合形成斑片。
表面覆盖有干燥的银色鳞屑,轻轻刮除鳞屑,可见小片血点。丘疹表面有较厚的银白色磷屑,外形不规则,有的有舆图或岛屿样外观,有的皮损较小,较多,呈满天星外观,鳞屑层一层脱落。牛皮癣一般发生在头皮、躯干、四肢伸侧,是在皮肤上出现红色的丘疹,渐扩大融合成斑片或斑块,这些是比较常见的牛皮癣早期症状。
以上就是关于牛皮癣如何进行判断的介绍,希望对患者有所帮助,对于牛皮癣一定要及早发现,及早治疗,平时做好预防工作,才能早日康复。